Clear aligners
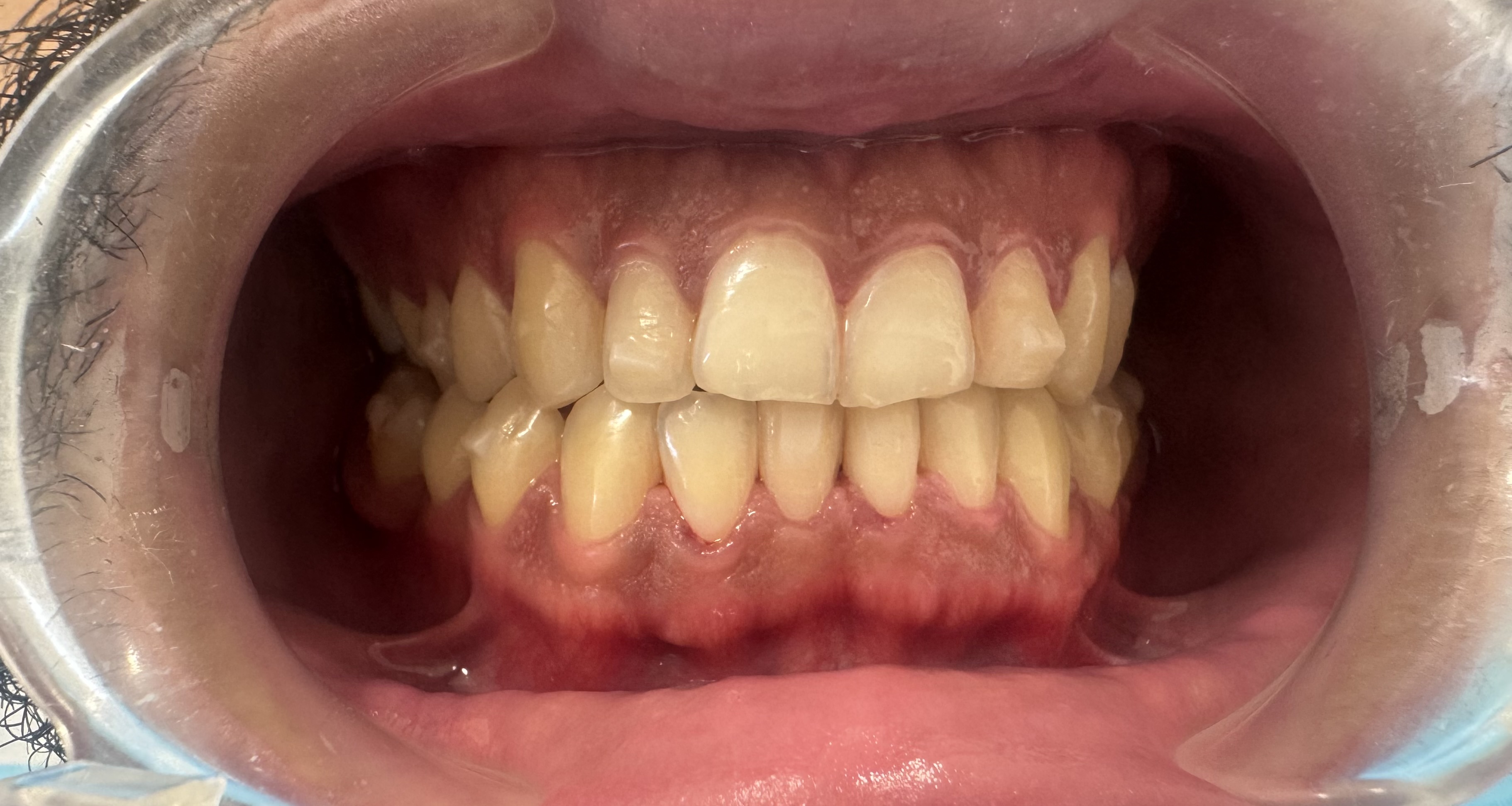
Case with teeth crowdening and wrong bite treated with clear aligners
Before
After
Case with teeth crowdening and wrong bite treated with clear aligners